立即预约

疑难复杂种植热点导航

种植牙利弊 种植牙价格 种植牙医院 种植牙优势 种植牙注意事项 种植牙寿命 种植牙系统 种植牙案例 在线问答

疑难复杂缺牙症状

022-88825888 点击查看更多症状 >

疑难复杂缺牙危害

022-88825888 点击查看更多症状 >

当天种植当天吃饭

“立得用”突破传统种植牙技术,只需种入4颗(8颗)种植体,就可以恢复半口牙(全口牙)的咀嚼功能,在顾客口腔状态符合的条件下,可以实现,当天戴牙冠吃东西。

立种立用

咀嚼效果更好

无痛更安全

费用更低

022-88825888 咨询您种牙方案 >

疑难复杂种植步骤

1拍片确诊

2专家会诊

3三维重建

4微创安全

5精准快速

6TCI全程无痛

7当天用新牙

8咀嚼力强

9美观耐用

022-88825888 点击咨询种牙过程 >

国家二级口腔专科医院权威种植专家

数万疑难复杂成功种植案例

告别食不知味的晚年生活

顾   客:赵阿姨 61岁
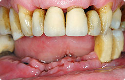
口腔情况:严重牙周病,上、下牙都几乎“全军覆没”
治疗方案:立得用种植牙体系
主诊医师:张喜明医生

退休老干部的种牙之路

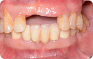
顾   客:张老师 63岁
口腔情况:张先生上牙掉的没剩几颗,装的假牙咬合力不好,已经十年不识肉滋味了。
治疗方案:立得用种植牙体系
主诊医师:赵振宇医生

立得用2小时重生全口牙

顾   客:李大伯 65岁
口腔情况:全口缺牙,多年不知肉滋味。
治疗方案:立得用种植牙体系
主诊医师:刘诚成医生