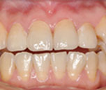
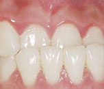
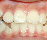
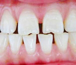
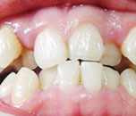
牙齿参差不齐,健康美丽是问题
Uneven teeth, health and beauty is a problem

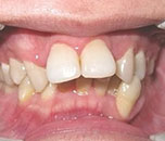
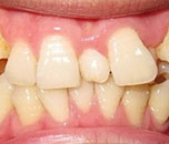
影响咀嚼
牙齿不齐,降低咀嚼功能,发音不清

影响发育
牙齿排列不齐,妨碍上下牙弓颌骨的正常发育

影响美观
牙弓前突或前牙拥挤错乱,影响美观

易患牙病
牙齿不齐,不易清洁细菌滋生,易发生龋齿
这个看脸的时代 矫正的是牙齿 改变的是人生
The watch face an era of orthodontic teeth change is life
牙齿畸形不仅仅是牙齿不好看的问题,它会牵连到一个人的说话、食欲、容颜等等,而且牙齿畸形的人,也比较容易自卑自闭...








中诺正畸五大技术,总有一种适合您
Five orthodontic techniques, there is always a right for you

美观性价比高型
体验舒适 ;缩短矫正周期;矫正拔牙率低

个性美观型
隐于舌侧,技术要求高,价格高

尊享高端型
完全隐形,安全舒适,私人专属定制牙套

经济实惠型
快速省时,降低拔牙率,易于清洁

快速美观型
美牙快速完成,效果媲美真牙
牙齿矫正流程 一体化正畸体验
Orthodontic teeth straightening process integration experience




专注牙齿正畸 十余年临床口腔正畸经验
Focus on orthodontic teeth more than 10 years of clinical experience in orthodontics
擅长:牙齿正畸、错位畸形的固定矫正、替牙期畸形矫治、成人的直丝弓固定矫治器技术。
也许您还对这些问答感兴趣
Maybe you also interested in these questions and answers