




" 立得用"种植牙体系不是一项单一种植牙技术,而是一套完整的种植牙体系。突出特点:”立种立食“,当天种植, 当天即可回家吃饭咀嚼。
1拍片确诊
2专家会诊
3三维重建
4微创安全
5精准快速
6TCI全程无痛
7当天用新牙
8咀嚼力强
9美观耐用
立拔立种 5-8分钟,一次成型
当天种植,当天戴牙,
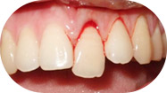
多点定位麻醉,全程微痛
无需植骨, 节省时间与费用

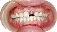
牙齿咬合功能重建
全瓷牙冠制备工艺
DSD微笑美学修复
完整牙周日常护理


天津市中诺口腔医院(全国连锁·国家二级口腔专科医院)集二级口腔全院之力,打造天津专业种植牙医院,顾客转介绍率高达97%,种植牙口碑好评率≥98%,天津市中诺口腔医院被顾客亲切称为“第三副牙齿的诞生地”。

