It's not difficult to recognize the orthodontics farewell crooked teeth
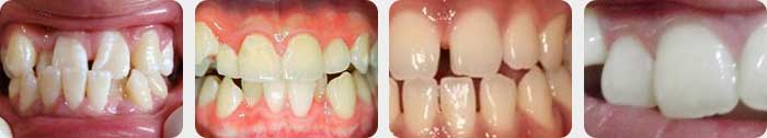
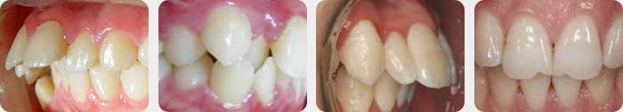
影响口腔健康
影响容貌外观
影响颌面发育
影响心理健康
Why choose zn
结合美学面部比例让矫正后牙齿和脸型更协调
牙齿畸形,误了社交,没了恋情;矫正找回自信。
zn Five orthodontic technology choice suitable is better
Skilled in professional, meet the demand of different correct age
全景机牙
片拍摄
三维模拟
设计
佩戴牙套
定期复诊

许多成年人在生长发育期可能存在着牙齿畸形的问题但没有及时矫正,龋病、牙龈和牙周疾病的发病率也比较高,身体健康受干扰,生活质量下降。
儿童牙齿矫正的科学年龄为12-15岁。在这一阶段,身体正处于青春发育时期,牙齿修复能力较好,因此牙的移动效果显著,往往能起到事半功倍的效果。
牙齿不齐不是一个小问题,其危害甚至可能是比较大的,对牙齿咀嚼功能、口腔发音功能、面容美观等都是有影响的。牙齿整齐了,才能让笑容更加的灿烂迷人、更有感染力。
Related content